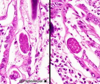
Strongyloides stercoralis
Strongyloides stercoralis, adults with eggs and larvae
Strongyloides stercoralis adults and eggs are almost never seen in stool specimens. Instead, it is more common to see the L1 (rhabditiform) and/or L3 (filariform) larvae. However adults can be seen in some heavy infections and may have developing eggs or larvae within them, as shown in this case. Photos courtesy of Boren Huot and Dr. Julie Ribes.

Strongyloides stercoralis, rhabditiform larvae
The L1 stage of Strongyloides stercoralis, also known as rhabditiform larvae, are relatively short, have a prominent genital primordium, and short buccal canal. Hookworm rhabditiform larvae have a similar appearance but have a long buccal canal and lack a prominent genital primordium. While S. stercoralis L1 larvae are the most common form of this parasite seen in stool, hookworm L1 larvae are only seen in stool when there is a delay in processing/preservation and hookworm eggs within the stool specimen are allowed to mature and hatch.
S. stercoralis L1 larvae video courtesy of Mr. Idzi Potters from the Institute of Tropical Medicine, Antwerp.

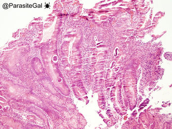
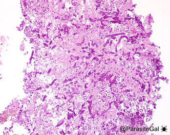
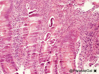
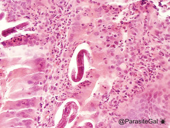
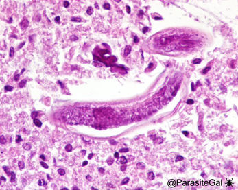
Strongyloides stercoralis, tissue
Strongyloidiasis is occasionally diagnosed by microscopic examination of hematoxylin and eosin-stained tissue sections. Examination of intestinal biopsies usually reveals larvae and eggs within the intestinal mucosa. Less commonly, adult females are seen.
You can view a whole slide image from a case of strongyloidiasis HERE.











































