Acanthamoeba species
Acanthamoeba species, corneal scrapings and culture.
The cysts of Acanthamoeba species are usually 10 to 25 micrometers in diameter and have 2 distinct cell walls: a wrinkled outer ectocyst and inner endocyst which may be round, hexagonal, polygonal or stellate. A single nucleus may sometimes be seen within each cyst. Trophozoites are 15 to 45 micrometers in greatest dimension and have a single nucleus. In culture, trophozoites often produce slender spine-like cytoplasmic processes called acanthopodia.
Acanthamoeba species, corneal tissue.
Species in the genus Acanthamoeba are capable of infecting the cornea and causing sight-threatening amebic keratitis. Infection can be diagnosed by examining corneal scrapings and biopsies. These slides show characteristics Acanthamoeba sp. cysts and trophozoites within hematoxylin and eosin-stained corneal tissue
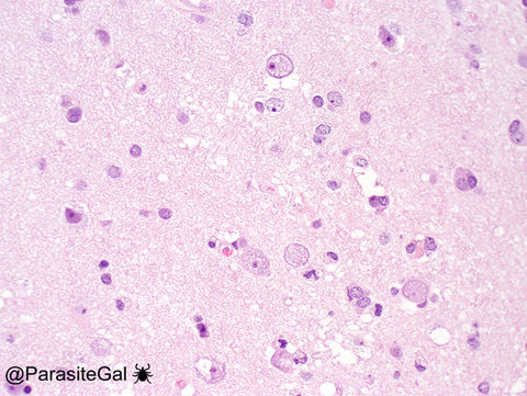
Acanthamoeba spp./Balamuthia mandrillaris, tissue.
Acanthamoeba species and Balamuthia mandrillaris can cause a life-threatening infection of the central nervous system called granulomatous amebic encephalitis (GAE). The organisms reach the brain through hematogenous dissemination from a primary lung or skin source; therefore, infection may be preceded by skin lesions or amebic pneumonia.
The case below represents amebic pneumonia, demonstrating characteristic trophozoites and rare cysts within alveoli (arrows). Note that the trophozoites have bubbly cytoplasm and a small nucleus with a large blot-like karyosome. They measure approximately 15 to 50 micrometers in greatest dimension. The cysts have a double cell wall with an inner hexagonal, spherical, polygonal or star-shaped wall and an outer wrinkled wall. They measure 10 to 25 micrometers in diameter. There is an associated neutrophilic host response.
Acanthamoeba spp./Balamuthia mandrillaris, tissue.
The second case is of fatal granulomatous amebic encephalitis (GAE), showing trophozoites and cysts in brain tissue. It is important to note that the cysts and trophozoites of Acanthamoeba sp. and Balamuthia mandrillaris cannot be reliably differentiated in tissue using light microscopy. Molecular methods are most commonly used for differentiating them. The important exception is when compatible organisms are seen in ocular specimens, which is indicative of acanthamoebic keratitis.





























